Tình trạng Sâu răng không của riêng ai? Nó có thể xảy ra ở trẻ nhỏ, thiếu niên, thanh niên, trung niên, người già,… Nếu không điều trị Răng sâu sớm sẽ ảnh hưởng rất nhiều đến vấn đề nhai, sinh hoạt và sức khỏe. Muốn Điều trị Răng sâu an toàn, hiệu quả, quý khách đến ngay Nha Khoa Tâm Phúc để được các Bác sĩ hỗ trợ.
1. Nguyên nhân gây Sâu răng do đâu?
Răng sâu là do sâu răng xảy ra theo thời gian. Sâu răng có thể gặp ở mọi lứa tuổi, đối tượng. Nguyên nhân khiến Sâu răng phát triển là do:

- Mảng bám: Khi quý khách ăn nhiều đường, tinh bộ và không làm sạch răng sẽ tạo thành màng dính bao phủ quanh răng khiến vi khuẩn nhanh chóng phát triển và hình thành các mảng bám. Mảng bám này có thể cứng lại ở dưới hoặc trên răng hoặc dưới đường viền nướu hình thành cao răng. Khi nó chuyển sang vôi răng thì mảng bám sẽ cực kỳ khó loại bỏ và tạo một lá chắn cho vi khuẩn “phá răng”.
- Các axit trong mảng bám: Chúng sẽ loại bỏ các khoáng chất bên ngoài răng và bên trong men răng cứng. Sự xói mòn sẽ dần hình thành các lỗ nhỏ – giai đoạn đầu của Sâu răng. Khi men răng bị bào mòn, vi khuẩn và axit dễ dàng xâm nhập vào lớp răng tiếp theo khiến quý khách sẽ có hiện tượng nhạy cảm do dây thần kinh được nối trực tiếp với ngà răng qua các ống nhỏ.
- Khi Sâu răng phát triển: Các vi khuẩn, axit tiếp tục di chuyển qua răng, di chuyển bên cạnh vật liệu răng bên trong tủy có chứa dây thần kinh và mạch máu. Nó khiến cho buồn tủy bị sưng, vết sứng không có chỗ để mở rộng chèn ép lên dây thần kinh gây đau nhức.
Răng sâu có thể gây ra bởi một số chủng vi khuẩn như: Streptococcus mutans, Actinomyces, Lactobacillus,…
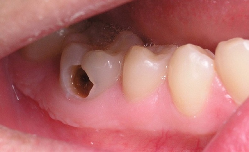
2. Triệu chứng của bệnh lý Sâu răng
Tùy thuộc vào mức độ Răng sâu và vị trí mà dấu hiệu, triệu chứng của Sâu răng sẽ khác nhau. Lúc mới bắt đầu, quý khách sẽ không hề cảm nhận được bất kỳ dấu hiệu nào. Khi nó bắt đầu trở nặng sẽ xuất hiện các triệu chứng như:
- Đau răng, đau răng tự phát, đau không có nguyên nhân rõ ràng.
- Răng trở nên nhạy cảm, đau nhẹ hoặc ê buốt khi ăn đồ lạnh, nóng, ngọt.
- Có lỗ hổng trên răng có thể nhìn thấy bằng mắt thường.
- Răng có màu nâu, đen trên bề mặt.
- Khi cắn hoặc nhai thức ăn có cảm giác đau.

3. Răng sâu gây ảnh hưởng như thế nào?
Răng sâu khiến sức khỏe, sinh hoạt và cuộc sống của quý khách ảnh hưởng rất nhiều. Cụ thể như sau:
- Đau răng khiến sinh hoạt hàng ngày gặp trở ngại.
- Gây cản trở với vấn đề nhai, nghiền thức ăn.
- Răng bị sâu làm ảnh hưởng đến tính thẩm mỹ của hàm, quý khách mất sự tin trong giao tiếp, lòng tự trọng bị tổn thương.
- Khi Răng sâu ở tình trạng nghiêm trọng còn tạo các biến chứng: Áp xe răng, nhiễm trùng nghiêm trọng ảnh hưởng đến sức khỏe và có thể đe dọa đến tính mạng.
4. Điều trị Răng sâu an toàn, hiệu quả tại Nha Khoa Tâm Phúc
Khi quý khách phát hiện các dấu hiệu bất thường về răng miệng, hãy đến với Nha Khoa Tâm Phúc để được các Bác sĩ nha khoa kiểm tra, thăm khám. Phát hiện Sâu răng càng sớm càng giúp quý khách có được hướng điều trị hiệu quả, an toàn và tránh các biến chứng nghiêm trọng.

Tùy thuộc vào tình trạng của quý khách mà Bác sĩ của Nha Khoa Tâm Phúc có thể chỉ định Điều trị Răng sâu như:
- Dùng phương pháp điều trị bằng Florua.
- Nhổ răng sâu
- Bọc răng sứ
- Trám
Sau quá trình điều trị, quý khách sẽ tìm lại được sự tự tin trong nụ cười và đảm bảo sức khỏe răng miệng để sinh hoạt bình thường hàng ngày. Quý khách hoàn toàn có thể yên tâm điều trị Sâu răng tại Nha Khoa Tâm Phúc bởi:
- Đội ngũ Y, Bác sĩ nha khoa chuyên môn cao, tay nghề lâu năm.
- Trang thiết bị, cơ sở vật chất hiện đại, đảm bảo đạt chuẩn quốc tế.
- Quy trình điều trị chuyên nghiệp, rõ ràng, tận tâm và ứng dụng các công nghệ tiên tiến, hiện đại.
- Chi phí điều trị hợp lý, phù hợp với nhiều đối tượng khách hàng.
5. Lời khuyên để tránh tình trạng Răng sâu
Để tránh tình trạng Sâu răng, quý khách nên thực hiện đúng lời khuyên từ Bác sĩ của Nha Khoa Tâm Phúc như sau:
- Chọn kem đánh răng sử dụng có chứa Fluoride và thực hiện đánh răng thường xuyên sau khi ăn uống, ít nhất 2 lần/ngày sau mỗi bữa ăn. Có thể dùng thêm nước súc miệng và chỉ nha khoa làm sạch răng.
- Thường xuyên khám răng định kỳ để phát hiện tình trạng Sâu răng sớm và có biện pháp khắc phục nhanh chóng, hiệu quả.
- Tránh ăn vặt thường xuyên sẽ khiến vi khuẩn tạo ra axit phá hủy men răng nhanh hơn.
- Ăn các loại thực phẩm tốt cho răng như: trái cây, rau quả tươi, keo cao su không đường,…
- Sử dụng bàn chải mềm để đánh răng tạo sự thoải mái và không làm tổn thương nướu, lợi.
Nếu quý khách đang bị Sâu Răng muốn điều trị an toàn, hiệu quả hãy đến với Nha Khoa Tâm Phúc. Các Bác sĩ của Nha Khoa Tâm Phúc sẽ giúp quý khách tìm lại được sự tự tin với hàm răng không sâu, trắng sáng.
