Sở hữu hàm răng đều đẹp là mong ước của nhiều người, thế nên Niềng răng là phương pháp hiệu quả được các chuyên gia hàng đầu lựa chọn để khắc phục những khuyết điểm về răng. Với bài viết dưới đây, Nha khoa Tâm Phúc muốn quý khách biết được trường hợp nào cần Niềng răng và tác dụng mà Niềng răng mang đến.
1.Niềng răng là gì?
Niềng răng là một thuật ngữ thường được sử dụng rộng rãi trong nha khoa, giúp răng dịch chuyển về đúng vị trí trên cung hàm bằng những khí cụ nha khoa chuyên dụng.
Giúp khắc phục các vấn đề về răng như: răng hô, móm, thưa, mọc lệch lạc, mọc ngầm. Nhằm khôi phục chức năng ăn nhai hoàn hảo, làm cho gương mặt trở nên cân đối, hài hòa. Đồng thời ngăn ngừa các bệnh về răng miệng hiệu quả.
2.Các trường hợp cần Niềng răng
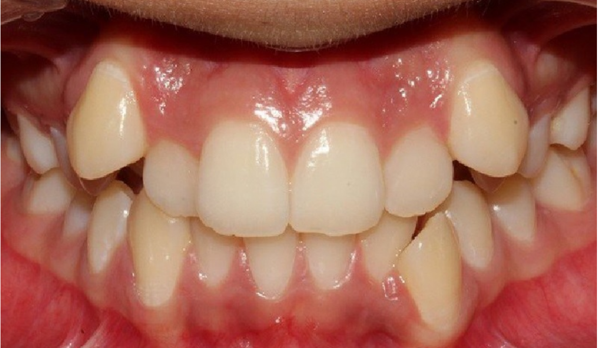
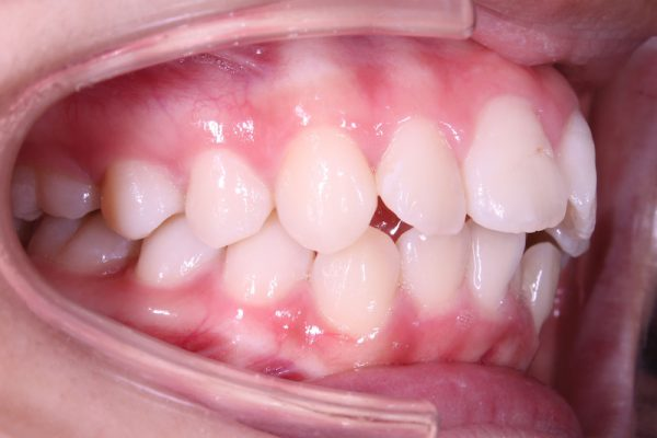
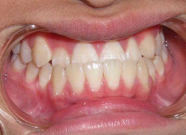
2.1. Răng khấp khểnh, chen chúc
– Đặc điểm nhận biết: răng khấp khểnh hoặc chìa ra, thụt vào, các răng mọc chồng lên nhau.
– Mức độ ảnh hưởng: Do vệ sinh không được đảm bảo khiến răng dễ tích tụ mảng bám và cao răng. Gây mất thẩm mỹ và các bệnh răng miệng: sâu răng, viêm nướu, viêm nha chu, chảy máu chân răng,…

Răng khấp khểnh, chen chúc
2.2. Răng thưa, hở kẽ
– Đặc điểm nhận biết: có khe hở giữa các răng cửa, các răng mọc cách xa nhau trên cung hàm, không mọc sát khít nhau
– Mức độ ảnh hưởng: răng yếu lung lay, thức ăn giắt kẽ, gây ảnh hưởng tới việc phát âm, mất tự tin và tăng nguy cơ bệnh lý răng miệng.

Răng thưa, hở kẽ
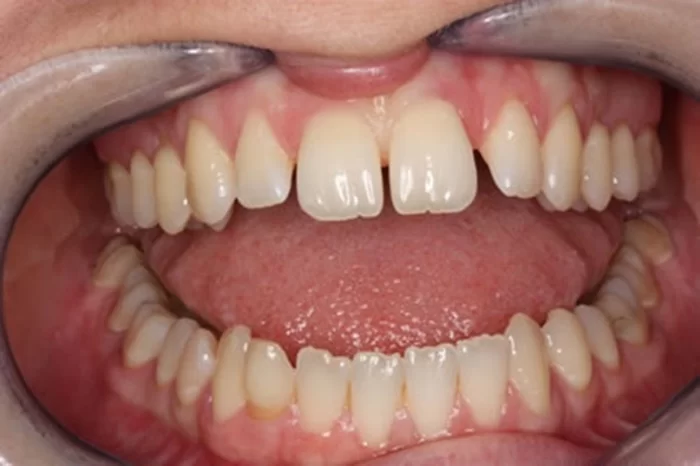
2.3. Răng cắn hở, hai hàm không chạm nhau
– Đặc điểm nhận biết: hai hàm không cắn được vào nhau.
– Mức độ ảnh hưởng: ăn nhai khó khăn, nói ngọng, phát âm kém, gây hôi miệng và nhiều hậu quả khác.

Răng cắn hở
2.4. Răng hô vẩu
– Đặc điểm nhận biết: Răng hô hàm trên, hàm dưới chìa ra, cằm lẹm, hở lợi, môi dày hơn bình thường.
– Mức độ ảnh hưởng: ảnh hưởng đến sức khỏe răng miệng, ăn nhai gặp khó khăn, gương mặt thiếu sự hài hòa, khó vệ sinh răng miệng, biến dạng cấu trúc xương hàm, đau khớp thái dương hàm và ảnh hưởng đến phát âm.

Răng hô vẩu
2.5. Răng móm
– Đặc điểm nhận biết: hàm trên thụt vào, hàm dưới nhô ra gây tình trạng mặt lưỡi cày.
– Mức độ ảnh hưởng: ăn nhai khó khăn, nói ngọng, phát âm kém, gây giảm tuổi thọ răng, rụng nhóm răng cửa hàm trên rất sớm.

Răng móm
2.6. Khớp cắn sâu, cằm ngắn
– Đặc điểm nhận biết: khi cắn hàm trên che phủ hàm dưới khiến cằm ngắn đi đáng kể, gương mặt thiếu cân đối, hài hoà.
– Mức độ ảnh hưởng: cử động hàm thiếu nhịp nhàng, khớp nhai, khớp thái dương hàm có thể bị ảnh hưởng, nhức mỏi nhiều.

Khớp cắn sâu, cằm ngắn
3.Lợi ích của Niềng răng
3.1 Giúp gương mặt trở nên cân đối, hài hòa
Các phương pháp Niềng răng sẽ sắp xếp và nắn chỉnh lại cho hàm răng cân đối với cấu trúc xương hàm, giúp răng đều và tăng tính thẩm mỹ cho tổng thể gương mặt.
3.2. Tạo nên sự tự tin
Răng nhiều khuyết điểm khiến quý khách cảm thấy không tự tin khi gặp gỡ bạn bè và mọi người xung quanh, ảnh hưởng đến các mối quan hệ và tinh thần.
Vì vậy, Niềng răng sẽ mang lại một hàm răng đẹp, nụ cười tự tin khiến quý khách thoải mái hơn trong giao tiếp thường ngày và thành công hơn trong cuộc sống.
3.3. Cải thiện sức khỏe răng miệng
Đối với những hàm răng mọc chen chúc, gây khó khăn trong việc làm sạch.
Đối với những hàm răng thưa, thức ăn dễ bám vào kẽ răng, nếu không vệ sinh kỹ dễ gây hôi miệng và các vấn đề khác.
Để nắn chỉnh các răng mọc lệch lạc, Niềng răng là phương pháp tối ưu nhất để quý khách dễ dàng trong việc vệ sinh răng miệng mỗi ngày, ngăn ngừa nguy cơ các bệnh lý nghiêm trọng khác.

Cải thiện sức khỏe răng miệng
3.4. Khôi phục chức năng ăn nhai, hạn chế tổn thương răng
Khớp cắn sai lệch dẫn đến căng thẳng cho răng, cơ và dây chằng, đau hàm, đau đầu, thoái hóa xương hàm. Nếu chịu căng thẳng kéo dài có thể khiến răng yếu đi, dẫn đến nhiễm trùng và cần phải nhổ bỏ.
Niềng răng giúp cơ hàm hoạt động bình thường, hạn chế tổn thương răng miệng, đồng thời bảo vệ sức khỏe răng miệng tốt hơn.
3.5. Không cần trồng răng giả
Vì một vài lý do mà quý khách phải trồng răng giả để khắc phục các khuyết điểm của răng. Tuy nhiên, việc ăn nhai bằng răng thật vẫn chắc chắn và an toàn hơn là răng giả. Niềng răng là phương pháp hiệu quả giúp quý khách giải quyết bằng cách kéo khít khoảng trống tại các vị trí mất răng mà không cần phải trồng răng giả.
3.6. Cải thiện giọng nói, phát âm
Giọng nói bị chi phối bởi dây thanh đới hay dây thanh quản ở cổ họng, đồng thời còn bị ảnh hưởng bởi cử động của lưỡi, môi và răng. Răng và môi đóng vai trò quan trọng quyết định âm lượng và âm sắc của giọng nói.
Khi thực hiện Niềng răng giúp hàm răng đều, vòm răng sẽ rộng hơn và lưỡi di chuyển dễ dàng giúp giọng nói sẽ rõ ràng hơn, khắc phục tình trạng nói ngọng.
3.7. Hỗ trợ chức năng của hệ tiêu hóa
Niềng răng giúp quý khách nhai thức ăn dễ dàng và kỹ càng, hỗ trợ hệ tiêu hóa, tránh nguy cơ mắc các bệnh về dạ dày và đường ruột.
Nếu đang có nhu cầu hay có thắc mắc liên quan đến Niềng răng đừng ngần ngại liên hệ đến hotline Nha khoa Tâm Phúc để được tư vấn tốt nhất nhé!
Có thể đặt lịch tư vấn miễn phí với Bác sĩ tại Fanpage https://www.facebook.com/Nhakhoatamphucquantoan hoặc hotline 086 666 2445!!!
